Maha K. Kaga, DMD, LLC
4-02 Towne Center Drive
North Brunswick
,
NJ
08902
(732) 595-7938
Home
About Us
Our Staff
Our Office
Our Services
Media
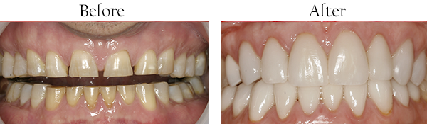
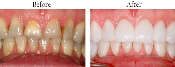
Smile Gallery
Dental Videos
New Patient Info
Dental Health
Oral Health Care and Prevention
The Preventive Program
Brushing
Flossing
Fluoride Treatments
Sealants
Treating Bad Breath
Diseases of the Oral Cavity
Tooth Decay
Periodontal (gum) Disease
Oral Cancer
TMJ problems
Malocclusion
Restoring Decayed Teeth
Amalgam fillings
Composite Fillings
Root Canal therapy
Crowns and Caps
Periodontal Restoration
Non-surgical Treatments
Periodontal Surgery
Crown Lengthening
Soft Tissue Grafts
Periodontal Therapy
Replacing Missing Teeth
Removable Bridges
Fixed Bridges
Implants
Cosmetic Dentistry
Bonding
Bleaching
Porcelain laminates
Ceramic crowns
Orthodontics
Braces
Invisalign
Dental Emergencies
Toothaches
Traumatic injuries
Contact Us
Appointment
Smile Gallery
Office Hours
Monday: 9:00 am – 7:00 pm
Tuesday: 8:30 am – 6:00 pm
Wednesday: 10:00 am – 6:00 pm
Thursday: 9:00 am – 6:00 pm
Friday: 8:30 am – 1:00 pm
Saturday: By Appointment